Skip to content

Eγγυημένα αποτελέσματα... με αποδείξεις!

Οι προηγούμενες επιτυχίες μας εγγυόνται τις επόμενες. Δεν συμβιβαζόμαστε με τίποτα πέρα από το καλύτερο για εσάς:

Ολική Στοματική Αποκατάσταση

Case 1064 after
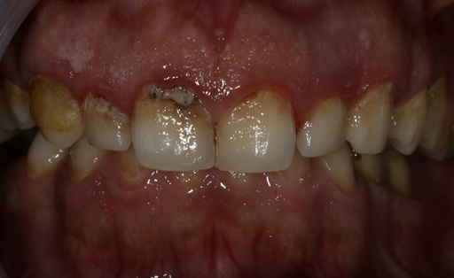
Case 1064 before

Περιστατικό

Case 1011 after
Case 1011 before

Περιστατικό

Case 998 after
Case 998 before

Περιστατικό

Case 989 after
Case 989 before

Περιστατικό

Case 980 after
Case 980 before

Περιστατικό

Case 428 after
Case 428 before

Περιστατικό

Case 419 after
Case 419 before

    Κλείστε Ραντεβού








    Appointment Confirmed

    Το αίτημά σας έχει καταχωρηθεί!

    Σύντομα θα επικοινωνήσουμε
    μαζί σας, για επιβεβαίωση
    της ημέρας και ώρας
    του ραντεβού σας.